Our Approach: Mobile diagnostic x-ray services for various industry employees within Ontario.
In industries such as mining, employees require testing as specified in the OHSA or their workplace's Health and Safety Program/Policy. By coming to you on site, StL Diagnostic Imaging mobile services eliminate the employer's difficulties associated with employee travel to off-site locations, minimize employee time away from the job and maximize employee participation in the programs being offered with minimal disruption to your facility's process. All x-rays are taken on-site and a total of 80 to 100 x-rays can be taken within an 8 hour day. We provide the portable mobile x-ray unit and a certified professional Medical Radiation Technologist.

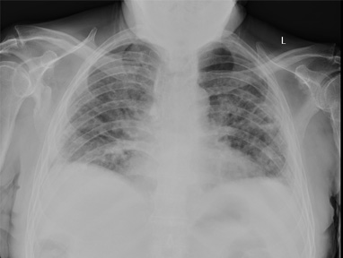
All occupational health chest x-rays are read according to the I.LO. standards by our expert radiologists as specified in the OHSA Regulations regarding silica. The x-rays are then returned to the requesting referring physician at either the industry site or occupational health medical office for storage. Types of occupational health conditions screened for are those such as asbestosis, silicosis and pneumonconiosis.
For more information, please contact our
Contracts Administrator: jcostley@stlimaging.ca
We are part of a team of occupational health professionals who can supply:
Blood tests
Hearing tests and
Pulmonary function tests (PFT's)
... all on-site.